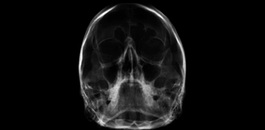
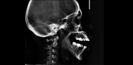
Avaliação das vias aéreas.
A FaceImagem une ciência e tecnologia, com o objetivo de alcançar a mais precisa qualidade em diagnósticos por imagem.
Com seis unidades estrategicamente localizadas no coração do Grande Recife, a FaceImagem oferece uma ampla gama de exames de radiologia odontológica digital e tomografia computadorizada volumétrica de feixe cônico.
Nosso compromisso é proporcionar aos pacientes serviços de excelência, utilizando as mais avançadas tecnologias disponíveis, garantindo diagnósticos precisos e seguros para uma melhor saúde bucal.
Exame realizado com o paciente sentado, duração entre 10 e 40 segundos, possibilita a visualização tridimensional do complexo buco-maxilo-facial, permitindo avaliar milimétricamente todas as estruturas de forma precisa e segura. Indicações: Avaliações para cirurgia de implantes dentários, localização de dentes retidos, prototipagens, cirurgias, entre outras.
Documentação composta de radiografias, fotografias, modelos e análises cefalométricas com o objetivo de realizar um estudo detalhada da interrelação das estruturas dento faciais do paciente. Possibilitando a escolha do tratamento correto para o mesmo. Indicação: Tratamentos Ortodônticos e Ortopédicos.
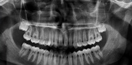
Exame realizado em apenas 17 segundos. Nosso equipamento permite a combinação de 9 diferentes tipos de arcadas, permitindo imagens nítidas e com altíssima definição.
O ScanService surge como uma ferramenta indispensável para clínicas e profissionais que buscam otimizar o atendimento aos pacientes e aprimorar seus resultados.
Indicada para realização de análises cefalométricas. Sendo possível a avaliação das estruturas ósseas e respectivas interrelações. Muito indicada para planejamentos ortodônticos e ortopédicos.
Muito utilizado para avaliação dos seios da face. Através do software romexis, podemos utilizar as ferramentas de inversão de imagem, brilho e contraste para uma avaliação mais precisa.
Visualização de forma planográfica das ATMs, com boca aberta e fechada.
Indicada para avaliação detalhada das estruturas interproximais.
Radiografia utilizada para pesquisa de dentes impactados.
Indicada para visualização detalhada das estruturas dento-alveolares.
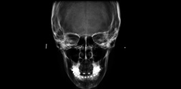
Avaliação das estruturas da face.
Avaliação das vias aéreas.
O melhor tomógrafo computadorizado do mercado mundial. Sua tecnologia permite a visualização de estruturas com muito mais detalhes e redução significativa de artefatos metálicos. Perfeito para todas as especialidades odontológicas.
O Planmeca ProMax 3D Classic é caracterizado pela facilidade de uso. Com um painel de controle de fácil utilização, abertura do posicionamento do paciente e fácil visualização de imagens, a unidade sempre oferece uma experiência agradável ao usuário.
O Prexion 3D é um tomógrafo computadorizado volumétrico de última geração que proporciona imagens em alta resolução oferecendo maior precisão no diagnóstico final.
IRIS LIMA CRUZ2023-07-20Trustindex verifies that the original source of the review is Google. Muito organizado, atendimento super eficiente e rápido. Próximos exames com certeza optarei por fazer na FaceImagem. Edwandja A.2023-07-19Trustindex verifies that the original source of the review is Google. Diogo Duarte2023-07-18Trustindex verifies that the original source of the review is Google. Muito bom e rápido atendimento Layse Silva2023-07-17Trustindex verifies that the original source of the review is Google. Ingrid Santos2023-07-12Trustindex verifies that the original source of the review is Google. DIRESP GCOE2023-07-11Trustindex verifies that the original source of the review is Google. Amei todo o atendimento, desde a recepção até o fornecimento do laudo que foi bem rápido. A equipe esta de parabéns Thais Bruna eu também mulher2023-07-06Trustindex verifies that the original source of the review is Google. atendimento excelente tanto das meninas da recepção quanto aos profissionais que realizam exame todos maravilhos estão de parabéns super acolhedores . Luana Rebouças2023-07-06Trustindex verifies that the original source of the review is Google. Maravilhosa! Equipe simpática, atenciosa e muito prestativa ???? Fatima Cardim2023-07-06Trustindex verifies that the original source of the review is Google. Suzana Fialho2023-07-05Trustindex verifies that the original source of the review is Google. Equipe nota 10,00!!! Eu estava precisando fazer os exames desde abril. Ontem liguei, expliquei e pedi para que fosse verificado se minha requisição ainda estava no sistema. Eu estava no Rio mar e já era 17:00hs. Fui super bem atendida !!! Patrícia foi super educada, desenrolada e proativa ! Consegui ir na mesma hora e fiz os exames. As meninas do exame também foram maravilhosas , pacientes e competentes. Em meia hora resolvi uma pendência de meses … E tudo foi possível devido a empatia , gentileza e boa vontade das meninas. Realmente fazia tempo que eu não via uma equipe com alegria , energia positiva e um atendimento tão bom. Parabéns meninas !!! Obrigada ❤️
Em caso de dúvidas, solicitações ou orçamentos, aguarde 24 horas que entraremos em contato com você.
Unidade Derby
Av. Agamenon Magalhães, 138
Derby
Tel: (81) 3223.2533 / 3222.6586
Unidade Boa Viagem
Av. Domingos Ferreira, 636
Clinical Center
Tel: (81) 3467.4532 / 3465.2956
Unidade Piedade
Av. Bernardo Vieira de Melo, 2203
Piedade
Tel: (81) 3127.4538 / 3127.4710 / Whatsapp: 9.9397-3986
FaceImagem
Respondemos em alguns minutos
🟢 Online | FaceImagem
Falar com Atendente no WhatsApp